CLíNICA ODONTOLOGICA alcance dentistas EM SÃO PEDRO DA ALDEIA

Sorria com confiança e saúde bucal.
Implantes dentários e próteses de alta qualidade para você. Aqui na alcance dentistas


Recupere seu sorriso com mais precisão e conforto!
Implantes dentários com a tecnologia da cirurgia guiada na Alcance Dentistas, em São Pedro da Aldeia.
A falta de um ou mais dentes pode causar dificuldades para mastigar, problemas na fala, envelhecimento precoce do rosto e, principalmente, abalar a autoestima. Muitos pacientes evitam sorrir, conversar em público ou até mesmo se relacionar socialmente por conta desse incômodo.


Na Alcance Dentistas, oferecemos a cirurgia guiada por computador, uma técnica moderna, segura e muito mais confortável para o paciente.
veja a Solução para seu problema Cirurgia Guiada em Implantes Dentários

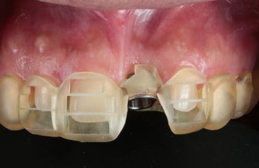
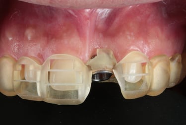
1.Implantes Dentário com Guia Cirúrgico
A tecnologia do guia cirúrgico permite que os implantes sejam instalados com máxima precisão e segurança. O procedimento é planejado digitalmente, reduzindo cortes, proporcionando uma recuperação mais rápida e resultados estéticos superiores.


3. Implantes Dentários Tradicionais
Os implantes dentários são a solução ideal para repor dentes perdidos com naturalidade e segurança. Com eles, é possível recuperar a função mastigatória, melhorar a fala e conquistar um sorriso mais harmônico e duradouro.


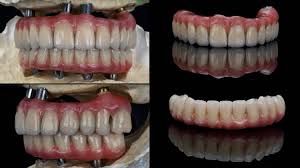
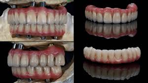
2. Prótese Sobre ImplantesProtocolo
Indicada para quem perdeu todos os dentes, a prótese sobre protocolo devolve firmeza, estética e qualidade na mastigação. Apoiada em implantes, ela substitui a dentadura móvel e oferece conforto, durabilidade e um sorriso natural e confiante.


ALGUNS DE NOSSOS TRATAMENTOS
CLÍNICA ALCANCE DENTISTA








A prótese sobre implantes é uma solução moderna e definitiva para quem perdeu um ou mais dentes. Fixada diretamente nos implantes, ela devolve a firmeza e a estabilidade que as próteses móveis não oferecem.
O planejamento digital revolucionou a forma de realizar implantes dentários. Através de exames de imagem em 3D e softwares avançados, é possível simular todo o procedimento antes da cirurgia.

O guia cirúrgico é uma tecnologia que garante mais precisão e segurança na instalação dos implantes dentários. Cirurgia mais rápida e previsível, resultados seguros e duradouros.












